Citation: Xia Liu, Wenzhuo Dong, Mengqian Jia, Dexiu Zhang, Jingyi Niu, Jiwei Shen, Chaozhan Wang, Yinmao Wei. Two-site synergistic binding strategy for improving adsorption and separation performance of antibodies[J]. Chinese Chemical Letters, ;2025, 36(12): 110991. doi: 10.1016/j.cclet.2025.110991 shu

Two-site synergistic binding strategy for improving adsorption and separation performance of antibodies

    * Corresponding authors.
    E-mail addresses: jiweish@nwu.edu.cn (J. Shen), ymwei@nwu.edu.cn (Y. Wei).
  • Received Date: 13 September 2024
    Revised Date: 27 December 2024
    Accepted Date: 20 February 2025
    Available Online: 20 February 2025

Figures(5)

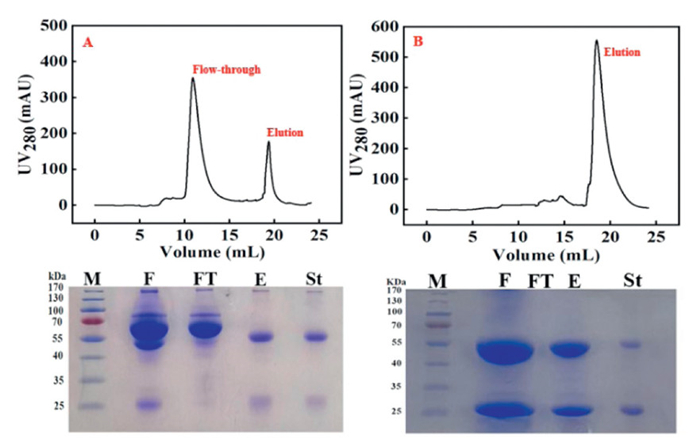
  • The adsorption and separation of antibody drugs are of great significance, but the promising hydrophobic charge induction chromatography (HCIC) and boronate affinity chromatography (BAC) suffer from low specific due to the limitations of single-site adsorption mechanism as well as low adsorption capacity of adsorbents, resulting in a lower purity and recovery of antibodies. To address this issue, this work proposes a two-site synergistic binding strategy integrating HCIC and BAC mechanism on a polymer brushes-grafted adsorbent. Five adsorbents were easily created by polymerizing the mixed monomers of 5-acryloylaminobenzimidazole, 3-acryloylamide phenylboronic acid and acrylamide on surface of agarose gel via activators regenerated by electron transfer for atom transfer radical polymerization (ARGET ATRP). The molecular docking implies that the two-site synergistic binding towards immunoglobulin G (IgG) originates from the closely adjacent boronic and benzimidazole side groups in the polymer chains with monomer ratio of 1:1:0. The inference was verified by the effect of three monomer ratios and adsorption conditions on the adsorption performance of IgG. The adsorbent with two-site synergy possesses an excellent specific, enhanced affinity (Kd = 3.9 × 10−6 mol/L) and adsorption capacity (Qm = 253 mg/g) towards IgG. Benefiting from the advantages, IgG from serum and monoclonal antibody (mAb) from cell culture achieve purities of 95.8% and 98.3%, and recoveries of 95.7% and 97.5%, respectively. The results are comparable to those with protein A adsorbent considered to have the best specific so far, indicating the potential of the two-site synergistic binding strategy in the purification of antibody drugs.
  • 加载中
    1. [1]

      J. Wang, L.G. Zhuo, P. Zhao, et al., Chin. Chem. Lett. 33 (2022) 3502–3506.

    2. [2]

      M.F. Mercogliano, S. Bruni, F.L. Mauro, R. Schillaci, Cancers 15 (2023) 1987.  doi: 10.3390/cancers15071987

    3. [3]

      H. Lin, H.F. Hong, L.P. Feng, et al., Chin. Chem. Lett. 32 (2021) 4041–4044.

    4. [4]

      L. Zhang, S. Parasnavis, Z.J. Li, J. Chen, S. Cramer, J. Chromatogr. A 1602 (2019) 317–325.

    5. [5]

      G. Rigi, S. Ghaedmohammadi, G. Ahmadian, Biotechnol. Appl. Bioc. 66 (2019) 454–464.  doi: 10.1002/bab.1742

    6. [6]

      N.A. Owens, P.H. Anborgh, I. Kolotilin Sci. Rep. 14 (2024) 8714.

    7. [7]

      T. Sugita, M. Katayama, M. Okochi, et al., Biochem. Eng. J. 79 (2013) 33–40.

    8. [8]

      M.J.B. Matos, J. Gonçalves, U. Rothbauer, et al., Sep. Purif. Technol. 265 (2021) 118476.

    9. [9]

      M.B. Espina-Benitez, J. Randon, C. Demesmay, V. Dugas, Sep. Purif. Rev. 47 (2018) 214–228.  doi: 10.1080/15422119.2017.1365085

    10. [10]

      S.A.S.L. Rosa, R.D. Santos, M.R. Aires-Barros, A.M. Azevedo, Sep. Purif. Technol. 160 (2016) 43–50.

    11. [11]

      P.F. Guo, X.M. Wang, M.M. Wang, et al., Nanoscale 11 (2019) 9362–9368.  doi: 10.1039/c9nr01111k

    12. [12]

      R.D. Santos, S.A.S.L Rosa, M.R. Aires-Barros, A. Tover, A.M. Azevedo, J. Chromatogr. A 1335 (2014) 115–124.

    13. [13]

      X.J. Zhou, Chun-E Mo, M. Chen, Y.P. Huang, Z.S. Liu, J. Chromatogr. A 1581 (2018) 8–15.

    14. [14]

      H.J. Zhu, H. Yao, K.X. Xia, et al., Chem. Eng. J. 346 (2018) 317–328.

    15. [15]

      M.T. Li, Q.L. Zhang, D.Q. Lin, S.J. Yao, J. Chromatogr. B 1134-1135 (2019) 121850.

    16. [16]

      J. Chen, J. Tetrault, Y.Y. Zhang, et al., J. Chromatogr. A 1217 (2010) 216– 224.

    17. [17]

      W. Shi, D.Q. Lin, H.F. Tong, J.X. Yun, S.J. Yao, J. Chromatogr. A 1425 (2015) 97–105.

    18. [18]

      H.L. Lu, D.Q. Lin, D. Gao, S.J. Yao, J. Chromatogr. A 1278 (2013) 61–68.

    19. [19]

      W. Phottraithip, D.Q. Lin, F. Shi, S.J. Yao, Biotechnolo. Bioprocess Eng. 18 (2013) 1169–1175.  doi: 10.1007/s12257-013-0223-6

    20. [20]

      G.F. Zhao, G.Y. Peng, F.Q. Li, Q.H. Shi, Y. Sun, J. Chromatogr. A 1211 (2008) 90–98.

    21. [21]

      H.F. Xia, D.Q. Lin, L.P. Wang, Z.J. Chen, S.J. Yao, Ind. Eng. Chem. Res. 47 (2008) 9566–9572.  doi: 10.1021/ie800662r

    22. [22]

      Y.D. Luo, Q.L. Zhang, S.J. Yao, D.Q. Lin, J. Chromatogr. A 1533 (2018) 77–86.  doi: 10.1159/000492024

    23. [23]

      Q.H. Shi, F.F. Shen, S. Sun, Biotechnol. Progr. 26 (2010) 134–141.  doi: 10.1002/btpr.295

    24. [24]

      J.L. Gu, H.F. Tong, D.Q. Lin, J. Chromatogr. A 1460 (2016) 61–67.

    25. [25]

      W. Jakubowski, K. Matyjaszewski, Macromolecules 38 (2005) 4139–4146.  doi: 10.1021/ma047389l

    26. [26]

      L.F. Zhang, Z.P. Cheng, Z.B. Zhang, D.Y. Xu, X.L. Zhu, Polym. Bull. 64 (2010) 233–244.

    27. [27]

      Y.M. Wei, J.J. Ma, C.Z. Wang, J. Membr. Sci. 427 (2013) 197–206.

    28. [28]

      Y.N. Chen, M.F. He, C.Z. Wang, J. Mater. Chem. A 2 (2014) 10444–10453.  doi: 10.1039/c4ta01512f

    29. [29]

      W. Wang, M.F. He, C.Z. Wang, Anal. Chim. Acta 886 (2015) 66–74.

    30. [30]

      Z.R. Pan, Polymer Chemistry, 5th edition, Chemical Industry Press, Beijing, 2011, pp. 120–129.

    31. [31]

      J. Yan, Q.L. Zhang, H.F. Tong, D.Q. Lin, S.J. Yao, J. Sep. Sci. 38 (2015) 2387–2393.  doi: 10.1002/jssc.201500178

    32. [32]

      S. Hober, K. Nord, M. Linhult, J. Chromatogr. A 848 (2007) 40–47.

    33. [33]

      Z.H. Wang, Q. Liang, K. Wen, S.X. Zhang, J.Z. Shen, J. Chromatogr. B 971 (2014) 10–13.  doi: 10.1186/1478-811X-12-10

    34. [34]

      B. Akerstrom, L. Bjorck, J. Biol. Chem. 264 (1989) 19740–19746.

    35. [35]

      A.C.A. Roque, M.A. Taipa, C.R. Low, J. Chromatogr. A 1064 (2005) 157–167.

    36. [36]

      J.M. Haigh, A. Hussain, M.L. Mimmack, C.R. Lowe, J. Chromatogr. B 877 (2009) 1440–1452.

    37. [37]

      L. Lund, P. Gustavsson, R. Michael, et al., J. Chromatogr. A 1225 (2012) 158–167.

    38. [38]

      X. Zou, Q. Zhang, H. Lu, D.Q. Lin, S.J. Yao, Chem. Eng. J. 368 (2019) 678–686.

    39. [39]

      H.F. Tong, D.Q. Lin, W.N. Chu, et al., J. Chromatogr. A 1429 (2016) 258–264.

    40. [40]

      M. Rahman, J.Z. Wang, H.J. Xia, J.W. Liu, Q. Bai, Chem. Eng. J. 391 (2020) 123561.

    41. [41]

      H.F. Tong, D.Q. Lin, Y. Pan, S.J. Yao, Biochem. Eng. J. 56 (2011) 205–211.

    42. [42]

      M.Q. Chen, Z.Y. Lin, H. Qian, Chin. Chem. Lett. 19 (2008) 1495–1498.

    43. [43]

      B. Kaur, P. Rana, P. Singh, et al., Coord. Chem. Rev. 518 (2024) 216057.

    44. [44]

      Y.L. Fu, Y. Kong, Y. Wang, et al., Sep. Purif. Technol. 318 (2023) 123817.

    45. [45]

      X. Li, X. Ding, J.K. Zhou, et al., Chin. Chem. Lett. 35 (2024) 109158.

    46. [46]

      B. Debnatha, B. Das, J. Mol. Liq. 310 (2020) 113088.

    47. [47]

      Q. Huang, H.J. Yu, L. Wang, et al., Eur. Poly. 157 (2021) 110651.

    48. [48]

      W. Schwartz, D. Judd, M. Wysocki, et al., J. Chromatogr. A 908 (2001) 251–263.

    49. [49]

      11 R.S. Santos, S.A.S.L. Rosa, M.R. Aires-Barros, A.M. Azevedo, Sep. Purif. Technol. 160 (2016) 43–50.  doi: 10.18468/estcien.2016v6n2.p43-52

    50. [50]

      E. Gianazza, I. Miller, L. Palazzolo, C. Parravicini, I. Eberini, J. Proteom. 140 (2016) 62–80.

  • 加载中
    1. [1]

      Tian FengYun-Ling GaoDi HuKe-Yu YuanShu-Yi GuYao-Hua GuSi-Yu YuJun XiongYu-Qi FengJie WangBi-Feng Yuan . Chronic sleep deprivation induces alterations in DNA and RNA modifications by liquid chromatography-mass spectrometry analysis. Chinese Chemical Letters, 2024, 35(8): 109259-. doi: 10.1016/j.cclet.2023.109259

    2. [2]

      Wangyan HuKe LiXiangnan DouNing LiXiayan Wang . Nano-sized stationary phase packings retained by single-particle frit for microchip liquid chromatography. Chinese Chemical Letters, 2024, 35(4): 108806-. doi: 10.1016/j.cclet.2023.108806

    3. [3]

      Cheng GuoXiaoxiao ZhangXiujuan HongYiqiu HuLingna MaoKezhi Jiang . Graphene as adsorbent for highly efficient extraction of modified nucleosides in urine prior to liquid chromatography-tandem mass spectrometry analysis. Chinese Chemical Letters, 2024, 35(4): 108867-. doi: 10.1016/j.cclet.2023.108867

    4. [4]

      Tong ZhangXiaojing LiangLicheng WangShuai WangXiaoxiao LiuYong Guo . An ionic liquid assisted hydrogel functionalized silica stationary phase for mixed-mode liquid chromatography. Chinese Chemical Letters, 2025, 36(1): 109889-. doi: 10.1016/j.cclet.2024.109889

    5. [5]

      Mengxing LiuJing LiuHongxing ZhangJianan TaoPeiwen FanXin LvWei Guo . One-pot accessing of meso–aryl heptamethine indocyanine NIR fluorophores and potential application in developing dye-antibody conjugate for imaging tumor. Chinese Chemical Letters, 2025, 36(4): 109994-. doi: 10.1016/j.cclet.2024.109994

    6. [6]

      Feng-Qing HuangYu WangJi-Wen WangDai YangShi-Lei WangYuan-Ming FanRaphael N. AlolgaLian-Wen Qi . Chemical isotope labeling-assisted liquid chromatography-mass spectrometry enables sensitive and accurate determination of dipeptides and tripeptides in complex biological samples. Chinese Chemical Letters, 2024, 35(11): 109670-. doi: 10.1016/j.cclet.2024.109670

    7. [7]

      Lei ZhangChenyang KouKun NiYiwen ChenTongchuan ZhangBaoliang Zhang . Microenvironment regulation of copper sites by chelating hydrophobic polymer for electrosynthesis of ethylene. Chinese Chemical Letters, 2025, 36(6): 110836-. doi: 10.1016/j.cclet.2025.110836

    8. [8]

      Huazhe WangChenghuan QiaoChuchu ChenBing LiuJuanshan DuQinglian WuXiaochi FengShuyan ZhanWan-Qian Guo . Synergistic adsorption and singlet oxygenation of humic acid on alkali-activated biochar via peroxymonosulfate activation. Chinese Chemical Letters, 2025, 36(5): 110244-. doi: 10.1016/j.cclet.2024.110244

    9. [9]

      Anni WuChengyi HongHu ZhengWei Teng . Multi-site synergistic relay electrocatalysis with high-entropy nanoalloys for effective nitrate reduction to ammonia. Chinese Chemical Letters, 2025, 36(12): 111066-. doi: 10.1016/j.cclet.2025.111066

    10. [10]

      Zixu XiePengfei ZhangZiyao ZhangChen ChenXing Wang . The choice of antimicrobial polymers: Hydrophilic or hydrophobic?. Chinese Chemical Letters, 2024, 35(9): 109768-. doi: 10.1016/j.cclet.2024.109768

    11. [11]

      Xin LiXuan DingJunkun ZhouHui ShiZhenxi DaiJiayi LiuYongcun MaPenghui ShaoLiming YangXubiao Luo . Utilizing synergistic effects of bifunctional polymer hydrogel PAM-PAMPS for selective capture of Pb(Ⅱ) from wastewater. Chinese Chemical Letters, 2024, 35(7): 109158-. doi: 10.1016/j.cclet.2023.109158

    12. [12]

      Jiajia LvJie GaoHongyu LiZeli YuanNan Dong . Rational design of hydroxytricyanopyrrole-based probes with high affinity and rapid visualization for amyloid-β aggregates in vitro and in vivo. Chinese Chemical Letters, 2024, 35(5): 108940-. doi: 10.1016/j.cclet.2023.108940

    13. [13]

      Muhammad Riaz Rakesh Kumar Gupta Di Sun Mohammad Azam Ping Cui . Selective adsorption of organic dyes and iodine by a two-dimensional cobalt(II) metal-organic framework. Chinese Journal of Structural Chemistry, 2024, 43(12): 100427-100427. doi: 10.1016/j.cjsc.2024.100427

    14. [14]

      Rui LiuYue YuLu DengMaoxia XuHaorong RenWenjie LuoXudong CaiZhenyu LiJingyu ChenHua Yu . The synergistic effect of A-site cation engineering and phase regulation enables efficient and stable Ruddlesden-Popper perovskite solar cells. Chinese Chemical Letters, 2024, 35(12): 109545-. doi: 10.1016/j.cclet.2024.109545

    15. [15]

      Xin-Tong ZhaoJin-Zhi GuoWen-Liang LiJing-Ping ZhangXing-Long Wu . Two-dimensional conjugated coordination polymer monolayer as anode material for lithium-ion batteries: A DFT study. Chinese Chemical Letters, 2024, 35(6): 108715-. doi: 10.1016/j.cclet.2023.108715

    16. [16]

      Xinghong CaiQiang YangYao TongLanyin LiuWutang ZhangSam ZhangMin Wang . AlO2: A novel two-dimensional material with a high negative Poisson's ratio for the adsorption of volatile organic compounds. Chinese Chemical Letters, 2025, 36(2): 109586-. doi: 10.1016/j.cclet.2024.109586

    17. [17]

      Zhihong LUOYan SHIJinyu ANDeyi ZHENGLong LIQuansheng OUYANGBin SHIJiaojing SHAO . Two-dimensional silica-modified polyethylene oxide solid polymer electrolyte to enhance the performance of lithium-ion batteries. Chinese Journal of Inorganic Chemistry, 2024, 40(5): 1005-1014. doi: 10.11862/CJIC.20230444

    18. [18]

      Zhaoru ChenXiaoxu LiuHaonan ChenJialong LiXiaofeng WangJianfeng Zhu . Application of epoxy resin in cultural relics protection. Chinese Chemical Letters, 2024, 35(4): 109194-. doi: 10.1016/j.cclet.2023.109194

    19. [19]

      Yongjing DengFeiyang LiZijian ZhouMengzhu WangYongkang ZhuJianwei ZhaoShujuan LiuQiang Zhao . Chiral induction and Sb3+ doping in indium halides to trigger second harmonic generation and circularly polarized luminescence. Chinese Chemical Letters, 2024, 35(8): 109085-. doi: 10.1016/j.cclet.2023.109085

    20. [20]

      Menglu GuoYing-Qi SongJunfei ChengGuoqiang DongXun SunChunquan Sheng . Hydrophobic tagging-induced degradation of NAMPT in leukemia cells. Chinese Chemical Letters, 2024, 35(9): 109392-. doi: 10.1016/j.cclet.2023.109392

Metrics
  • PDF Downloads(0)
  • Abstract views(17)
  • HTML views(6)

通讯作者: 陈斌, bchen63@163.com
  • 1. 

    沈阳化工大学材料科学与工程学院 沈阳 110142

  1. 本站搜索
  2. 百度学术搜索
  3. 万方数据库搜索
  4. CNKI搜索
Address:Zhongguancun North First Street 2,100190 Beijing, PR China Tel: +86-010-82449177-888
Powered By info@rhhz.net

/

DownLoad:  Full-Size Img  PowerPoint
Return